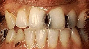
متادون و پوسیدگی دندان



بیماران معتاد نسبت به مشکلات سلامت دندانها آسیب پذیر هستند.

در مصرف کنندگان متادون شیوع بیماریهای پریودنتال و پوسیدگی دندان نسبت به جمعیت عادی بالاتر است.

متادون همچون سایر مواد افیونی ممکن است باعث کاهش بزاق دهان و در نتیجه پوسیدگی دندان شود.

در صورت وجود مشکلات دهان و دندان بهتر است از مواد افزودنی حاوی قند همراه متادون پرهیز کرد.

 

اقدامهای زیر می‌توانند کمک‌کننده باشند:

• معاینه دهان و دندان و لثه‌ها در معاینه فیزیکی اولیه و معاینات بعدی
• اگر پوسیدگی ناشی از خشکی دهان است، می‌توان به بیمار توصیه کرد از آدامس بدون شکر یا آب لیمو رقیق شده با آب برای تحریک بزاق استفاده کند. لواشک، برگه هلو ، زردآلو و آلو هم بسیار مفید هستند.
• مواد حاوی شکر به متادون مصرفی افزوده نشوند یا توصیه شود پس از مصرف خوراکی محلول متادون حاوی شکر، بیمار دهان خود را بشوید.